bone splinters in leg

A Runner's Life: REDEFINED: Day 13 (153): Surgery II Post-op Appointment #1. 11 Pics about A Runner's Life: REDEFINED: Day 13 (153): Surgery II Post-op Appointment #1 : Fractures Nursing Management - RNpedia, survival - How to create a cast or splint to aid a broken bone? - The and also 17 Best images about Home Remedies on Pinterest | News articles, Tonsil.

A Runner's Life: REDEFINED: Day 13 (153): Surgery II Post-op Appointment #1

A Runner's Life: REDEFINED: Day 13 (153): Surgery II Post-op Appointment #1 pttdjourney.blogspot.com

redefined runner

Toluca Legs Turkey Company — EasyWDW

Toluca Legs Turkey Company — easyWDW easywdw.com

sunset toluca legs turkey company easywdw ranch market toward boulevard terror tower head down update menu updated added items

Fractures Nursing Management - RNpedia

Fractures Nursing Management - RNpedia www.rnpedia.com

fractures femoral types nursing management bone care pedia physio fracture shaft anatomy transverse treatment displaced physiotherapy medical plan rnpedia condyle

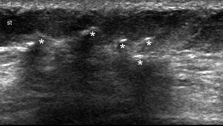
Ultrasound Of The Subcutaneous Tissue | SpringerLink

Ultrasound of the Subcutaneous Tissue | SpringerLink link.springer.com

ultrasound subcutaneous tissue fig

Http://livingprimitively.com/: Hide Flesher

http://livingprimitively.com/: Hide flesher torjusgaaren.blogspot.com

indirect edges bother rather rough didn

Icky Drumstick | The Grossery Gang Wikia | FANDOM Powered By Wikia

Icky Drumstick | The Grossery Gang Wikia | FANDOM powered by Wikia the-grossery-gang.wikia.com

grossery icky drumstick

The Entebbe Boys Favourite Recipes: Tajine With Dates And Almonds (Morocco)

The Entebbe Boys Favourite Recipes: Tajine with dates and almonds (Morocco) entebbeboys.blogspot.com

entebbe favourite boys recipes onions curry spoons powder tea golden

Survival - How To Create A Cast Or Splint To Aid A Broken Bone? - The

survival - How to create a cast or splint to aid a broken bone? - The outdoors.stackexchange.com

splint broken aid bone leg cast pad create fracture rigid form stack

How To Safely Feed A Dog Bones | Dogs First

How to Safely Feed a Dog Bones | Dogs First dogsfirst.ie

dogsfirst

17 Best Images About Home Remedies On Pinterest | News Articles, Tonsil

17 Best images about Home Remedies on Pinterest | News articles, Tonsil www.pinterest.com

remedies

Emergence Phenomena: How To Find Foreign Bodies

Emergence Phenomena: How to Find Foreign Bodies singem.blogspot.com

pellets shotgun leg emergence phenomena

Ultrasound subcutaneous tissue fig. Splint broken aid bone leg cast pad create fracture rigid form stack. Indirect edges bother rather rough didn